- 福岡市中央区の歯医者「渡辺通駅加納歯科クリニック 福岡」TOP >
- 医院コラム(一覧) >
- 歯のプチ整形とダイレクトボンディング
歯のプチ整形とダイレクトボンディング
福岡市中央区渡辺通り 渡辺通駅加納歯科クリニック 福岡です。
このコラムでは、当院での診療におけるこだわりや、ちょっとした工夫を御紹介しております。
今回は歯のプチ整形ご紹介します。
プチ整形というと少し語弊があるかもしれません
しかし、歯の形や色をほんの少し変えてやるだけで、歯だけの審美性だけでなく、顔全体の印象まで、大きく変わってきます。

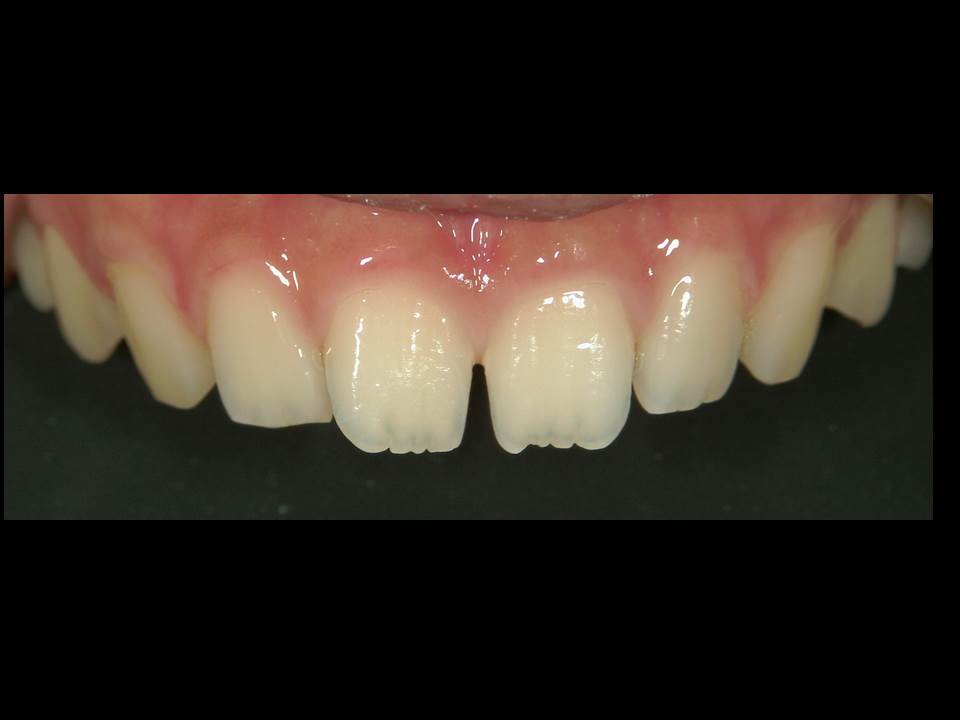
中でも1番効き目のある場合が、このようなすきっ歯の修正。
このような場合、治療方法は主に3つ。
・歯の表面を一層削り、つけ爪のようにセラミックを貼り付けるラミネートベニヤ
・矯正治療を利用しての隙間の閉鎖
・ダイレクトボンディングを用いて隙間の閉鎖
それぞれに利点・欠点がありますが、ここで大切なのが、診査と診断。
どの方法が一番有効であり、また患者様の望むゴールにたどりつけるかをしっかり考えなければなりません。

事前にとらせて頂いた模型上で、しっかりシュミレーションを行ったところ、隙間の大きさ、歯の形態から、大きく削る必要はありませんでした。
したがって、今回はダイレクトボンディングで治療を行うこととなりました。
そのまま隙間を埋めるだけでは、歯が大きく見えすぎてしまうため、歯の形にちょっとした工夫をしています。

歯を削ることなく、即日でここまで、回復することができました。
マイクロスコープ(歯科用顕微鏡)下で行っていますが、術直後で歯ぐきの中から形を作っているため、色味と形態の細かな修正は次回に。
術直後は歯が乾燥しているため、どうしても色が白くなり、細かなディティールを表現するのが難しくなります。
患者様は大満足でも、こちらが満足できない場合はお願いして、とことんやらせて頂きます。
今回の材料も、トクヤマデンタル社、アステリア。
やはり、保険外の材料は、研磨性、操作性も優れているため、治療する側もストレスが少なくてすみます。
歯の隙間や形でお悩みの方は、お気軽にお知らせ下さい。
渡辺通駅加納歯科クリニック 福岡では、義歯(入れ歯)、セラミックなど審美歯科治療をはじめとする補綴治療を得意としております。
お困りの際は、お気軽に御相談下さい。
福岡市中央区渡辺通り
渡辺通駅加納歯科クリニック 福岡















