- 福岡市中央区の歯医者「渡辺通駅加納歯科クリニック 福岡」TOP >
- 医院コラム(一覧) >
- 差し歯の黄ばみを取る方法を解説!ホワイトニングで白くできないってほんと?
差し歯の黄ばみを取る方法を解説!ホワイトニングで白くできないってほんと?
今日は、患者様からよくいただく質問の一つである「差し歯の黄ばみ」について詳しく解説します。差し歯が黄ばんでしまった場合、どのように対処すれば良いのか、またホワイトニングが有効かどうかについて詳しく説明しますので、最後までお読みください。
差し歯の黄ばみを取る方法は差し歯のやり直しのみ

差し歯の黄ばみが気になる方は多いですが、残念ながら一度黄ばんでしまった差し歯の色を完全に元に戻す方法は限られています。
差し歯の素材は天然歯と異なり、ホワイトニングなどの漂白効果がありません。そのため、差し歯の黄ばみを完全に取り除くには、差し歯自体をやり直す、つまり新しい差し歯に交換する必要があります。
差し歯の交換には技術と時間がかかりますが、結果的に新しい差し歯は自然な白さを取り戻すことが可能です。保険適用の差し歯もしくは、セラミックやジルコニアといった高品質な素材を使用することで、より長持ちし見た目も美しく保つことができます。
差し歯はホワイトニングで白くできない?

多くの患者様が、差し歯もホワイトニングで白くできるのではないかと考えられますが、実際にはそうではありません。ホワイトニングは、天然歯のエナメル質を漂白することで歯を白くする方法です。
一方で、差し歯の素材はプラスチックやセラミックであり、これらの素材はホワイトニング剤の効果を受けません。
表面の汚れはクリーニングで除去できる
ただし、差し歯の表面についた軽度の汚れやステイン(着色)は、歯科医院で行うクリーニングによって除去することができます。定期的なクリーニングにより、見た目の清潔さを保つことは可能です。
しかし、内部の変色や素材そのものの黄ばみはクリーニングでは解消できないため、やはり差し歯の交換が必要となります。
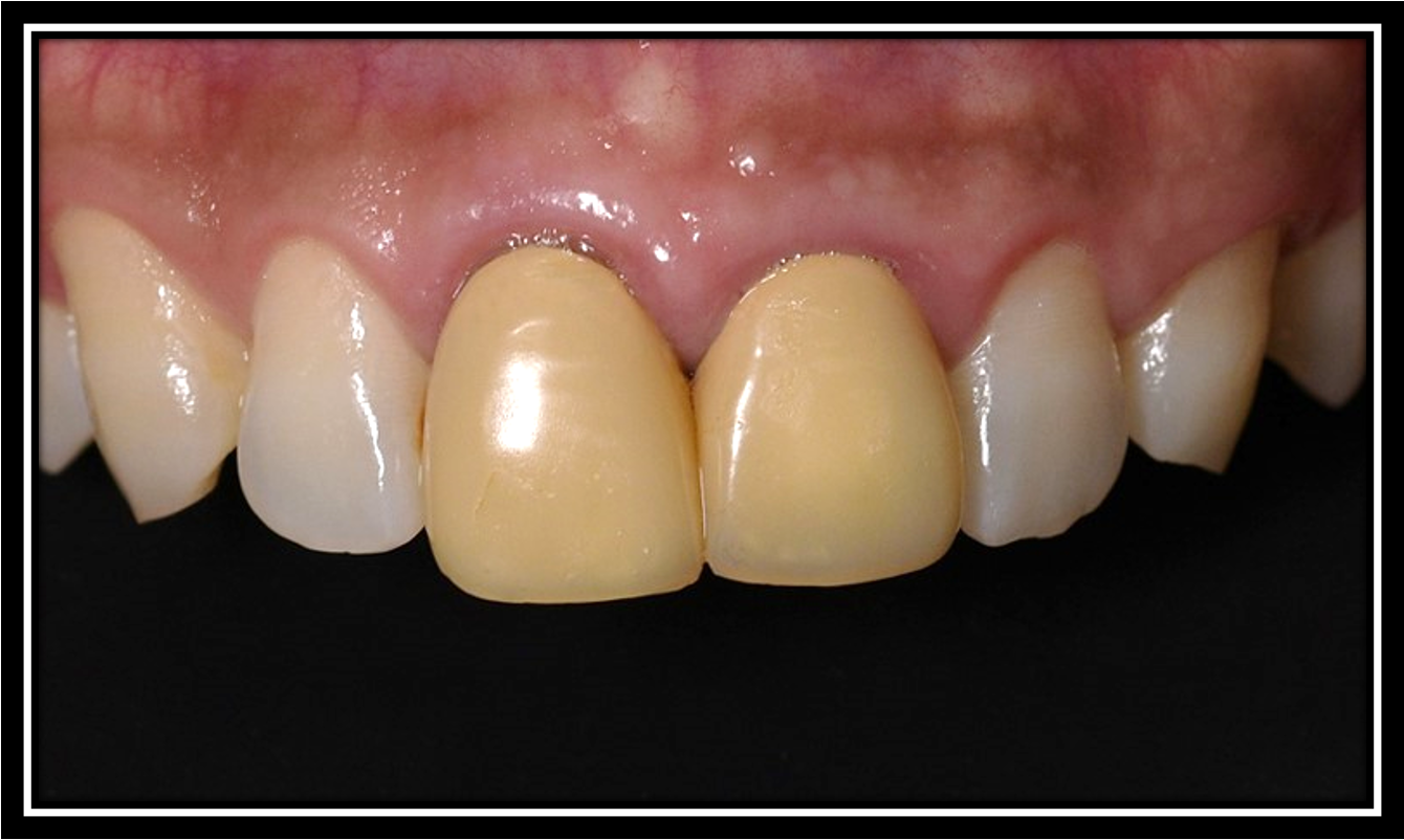
黄ばんだ差し歯の治療例

- 患者様:30代男性
- お悩み:10年以上前に入れた差し歯が黄ばんできたので何とかしたい
保険治療の差し歯はプラスティックを使用するため、年月が経つとこのように黄ばんで黒くなります。理想の口元について話をし、セラミック2本を入れて対応していくことになりました。

カウンセリングにより、違和感なく自然な白い歯をご希望されため、ただ白く作るだけでなく、歯の先端の方は透明感を。歯ぐき側は暖かみのあるオレンジを混ぜ、グラデーションをかけることで、周りの歯との自然感と白い清潔感のバランスをとりました。
後日、気にせず笑顔が出せるようになり、笑顔を褒められるようになったと嬉しい報告がありました。
渡辺通り駅加納歯科クリニック福岡では、皆様の希望と期待に応える治療を目指しております。黒くなった差し歯、黄ばんだ差し歯、すきっ歯、入れ歯などでお困りの際は、お気軽にご連絡ください。
差し歯が黄ばむ原因

差し歯が黄ばんでしまう原因はさまざまです。以下に、主な原因を挙げてみましょう。
差し歯の劣化
差し歯の素材自体が経年劣化することで、色が変わることがあります。特に保険適用の差し歯はプラスチック製のため変色しやすく、寿命は5〜8年だといわれており、長期間使用すると黄ばんできやすくなります。
弁当箱などプラスチック製の食器を想像されたら分かりやすいかと思われます。このように素材が古くなって劣化することで、表面が粗くなり、汚れが付きやすくなるのが差し歯が黄ばむ大きな原因です。
着色しやすい食べ物の接収
コーヒー、紅茶、赤ワイン、カレー、トマトソースなどの食べ物や飲み物は、差し歯に着色しやすい成分が含まれています。これらを頻繁に摂取することで、差し歯が黄ばんでしまうことがあるでしょう。
全く摂取しないということは難しいため、食後には歯磨きや口をすすぐなどの対策を取ることが大切です。
喫煙による着色
タバコのヤニは非常に強力な着色成分を含んでおり、差し歯に付着すると黄ばみの原因となります。喫煙は健康にも悪影響を及ぼすため、可能であれば禁煙を検討することが望ましいです。
歯周病や差し歯の材質による歯茎の黒ずみ
歯周病が進行すると、歯茎が炎症を起こし黒ずんだり、歯ぐきが下がることで、差し歯と歯茎との境目が見えてしまうことがあります。これが差し歯の見た目にも影響を与え、全体的に暗い印象を与えてしまいます。
また、保険適用の差し歯では、歯の土台や差し歯の内面に金属を使用することが多いため、歯茎も黒ずんでしまいます。歯周病の予防と治療も、差し歯の美しさを保つためには重要です。
研磨剤入り歯磨きによる
研磨剤が含まれた歯磨き粉を使用すると、差し歯の表面が細かい傷で傷つき、その傷に汚れが溜まりやすくなります。結果的に、差し歯が黄ばみやすくなりますので、研磨剤の少ない歯磨き粉を選ぶようにしましょう。
差し歯の黄ばみを抑えるためのポイント

差し歯の黄ばみを防ぐためには、以下のポイントを押さえることが重要です。
セラミックの差し歯を検討する
差し歯の素材選びは非常に重要です。セラミックの差し歯は、プラスチック製の差し歯に比べて変色しにくく、自然な白さを長期間保つことができます。
保険適用外となり、初期費用は高くなるかもしれませんが、長い目で見れば美しさを保つための良い投資となります。
日頃のケアを徹底する
差し歯を清潔に保つためには、日常のケアが欠かせません。ブラッシングやフロスをしっかり行うことで、差し歯に汚れが溜まるのを防ぎます。
また、定期的に歯科検診を受けることで、差し歯の状態をチェックし、必要に応じてクリーニングやメンテナンスを行うことが重要です。
まとめ
今回は黄ばんだ差し歯を白くする方法についてご紹介しました。
黒くなった差し歯、黄ばんだ差し歯、すきっ歯、入れ歯などでお困りの際は、ぜひ一度渡辺通り駅加納歯科クリニック福岡にご相談ください。患者様一人ひとりに最適な治療法を提案いたします。適切な治療とケアで、美しい笑顔を長く保ちましょう。















