- 福岡市中央区の歯医者「渡辺通駅加納歯科クリニック 福岡」TOP >
- 歯茎の色が気になる方へ
歯茎の色が気になる方へ

歯茎の色は、皆様の輝く笑顔にも大きく影響を及ぼします。審美歯科においては歯が主役、歯茎はわき役と思われがちですが、美しい口元には健康的で
きれいなピンク色の歯茎は不可欠です。
せっかく白い歯を手に入れても、歯茎が黒ずんでいては台無しです。
絵画にも言えることですが、どんなに絵が素晴らしくても、額ぶちが汚ければ良くは見えません。
逆にたいしたことない絵でも、額ぶちが立派であれば、高い絵に見えてくることもあります。
両方が調和して初めて美術としてなりたつわけであり、それと同じことが審美歯科にも言えます。
福岡市中央区の「渡辺通駅加納歯科クリニック 福岡」では、歯の治療だけでなく、
歯茎の治療も対応可能。
こちらのページでは、皆様に健康で審美的な歯ぐきを獲得するための治療方法として、当院のガムピーリング(歯茎のホワイトニング)、差し歯(クラウンのやり替え)、歯茎の移植などについて紹介します。
健康な歯茎の特徴

歯茎は、薄いピンク色でギュッと固くしまっているのが健やかな状態です。
歯と歯の間が三角になり、「スティップリング」と
呼ばれるプツプツとした白い点が見られると、
さらに健康的な歯茎といえます。
こんな歯茎は要注意!
歯茎を変色させる要因・習慣とは?

体調や口腔内のトラブル、生活習慣までもが
歯茎の“色”となって現れます。
健康的な色の歯茎にするためには、治療だけでなく
毎日の食事や生活習慣の見直しも必要です。
歯から起こる変色(赤・赤紫・黒)
歯周病によって炎症を起こすと、赤や赤紫に変色してしまいます。
そのまま放置してしまうと、歯茎が下がり、歯の根元に付着した黒い歯石によって歯茎が
黒く見えてしまうことも。
また、虫歯などにより神経を失った歯の歯茎や、クラウンなどの金属が溶け出す
「メタルタトゥー」でも歯茎が黒く変色します。
生活習慣が原因の変色(茶)
喫煙習慣がある方は、タールによって茶色く変色してしまいます。
他にも、間違った歯磨きが原因で色素沈着することもあるのです。
体調によって現れる変色(白・紫)
貧血時には白っぽく、血行が悪い場合は紫に見えることがあります。
加納歯科クリニックの歯茎治療

ここまで歯茎の色や着色の原因についてご説明してきましたが、患者様により変色の仕方や治療のポイントはそれぞれ異なります。
当院では、一人ひとり違う歯茎の状態を細かくチェックし、患者様のご希望に沿った最適な治療をご提供いたします。
高度な技術を持つ加納歯科クリニックでは、
さまざまな歯茎の症状に対応可能です。
ガムピーリング

黒ずみや、茶色く変色してしまった歯茎を、薬剤を用いてホワイトニングします。
ピーリングのため、術後にピリピリと感じる方もいらっしゃいますが、数日で健康的な薄いピンク色の歯茎を取り戻せます。
ガムピーリングが必要になるケースと原因
ガムピーリングが必要になるケースは、主に3つあります。
1つ目は歯茎が黒ずんでいる場合です。喫煙者あるいは過去に喫煙していた方は、タバコに含まれる有害物質の付着や血行不良により、歯ぐきが黒ずみやすくなっています。
2つ目は歯のホワイトニングを行っている場合です。歯ぐきが美しいピンク色になることで、白い歯をより美しく健康的に見せてくれます。
3つ目は、接客業など人前に出る機会が多い方や結婚式などのイベントを控えている方です。口元を明るく見せて美しい笑顔を演出し、明るい印象を作り出すことができます。

歯茎の移植

歯周病などで下がってしまった歯茎は自然に戻ることはありません。
歯茎を移植することで、再生させることができます。
歯茎の移植が必要になるケースと原因
歯茎の薄い方や下がってしまった方は、歯がしみたり虫歯になりやすくなったりします。
「歯を磨くとき歯茎にすぐ傷ができる」「知覚過敏が起きやすい」という方は、歯茎が薄い傾向にあります。
「歯が長くなったように見える」「冷たいものがしみる」という方は、歯茎が痩せて根の部分が見えてしまう「歯肉退縮」である可能性があります。歯周病や過度な力でのブラッシング、噛み合わせの悪さが主な原因です。
治療法としては、歯茎の移植を行います。具体的には手術により必要な組織を切り取り、
足りない部分に移植するといった方法が行われます。

クラウンの交換

クラウンに使われている金属が溶け出すこと起こる黒ずみは、クラウン自体を変えなければ何度治療しても発生してしまいます。
セラミックに替えることで、変色の原因を取り除きます。
クラウンの交換が必要になるケースと原因
クラウンは金属でできているため、時間の経過とともに少しずつ変色してしまいます。金属が溶け出す影響で、歯茎に黒ずみを発生させます。
また、金属から少しずつイオンが漏れ出ることにより、潜在的な金属アレルギーが起こりうる危険性があります。
クラウンはオールセラミックと比較すると余分な隙間ができやすく、ブラッシングが行き届かないことで虫歯の原因にもつながります。審美歯科ではこれらのデメリットをカバーする、
オールセラミックへの交換をおすすめしています。

コラム~歯茎にできる白いできものの正体~
歯茎は、自覚症状のない体調の変化や口腔内のトラブルを、目で見える形で知らせてくれる健康のバロメーターのような働きを持っています。
歯茎の色だけでなく口内炎や脂肪腫、婁孔(フィステル)というブツブツの「できもの」として現れることも多いです。
婁孔(フィステル)とは、歯の根っこが細菌に感染し、膿が歯茎まで出てきてしまう症状をいいます。
痛みは感じませんが、自然治癒しないので歯科での「感染根管治療」が必要です。
それでも治らないようなら歯茎を切開する「歯根端切開術」を行います。
最悪の場合、抜歯しなければならないので、歯茎のできものには日ごろから気を付けるようにしましょう。
症例(歯茎の色が気になる方)
ガムピーリング
| 年齢 | 50代 |
|---|---|
| 性別 | 男性 |
| 住所 | 福岡市東区 |
| 主訴/ニーズ | 歯茎の色を綺麗にしたい |
| 治療期間 | 1日 |
| 治療内容 | 歯茎のホワイトニング |
| 費用 | ¥5,000×2 |
| 院長コメント | 黒ずみが気になるので落とせないかというご相談でご来院頂きました。 |
クラウンの交換①
| 年齢 | 50代 |
|---|---|
| 性別 | 女性 |
| 住所 | 糟屋郡 |
| 主訴/ニーズ | 前歯を綺麗にしたい |
| 治療期間 | 1年 |
| 治療内容 | 前歯4本のセラミック治療 |
| 費用 | ファイバーコア ¥10,000×4 仮歯 ¥5,000×4 ジルコニアセラミッククラウン ¥130,000×4 |
| 院長コメント | 約5年前に他院で前歯の治療を受けたが、歯並びや歯茎の黒ずみが気になりだして治療を受けたいと思われたとのこと。 |
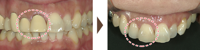
クラウンの交換②
| 年齢 | 40代 |
|---|---|
| 性別 | 女性 |
| 住所 | 福岡市中央区 |
| 主訴/ニーズ | 前歯の黒ずみが気になる |
| 治療期間 | 2カ月 |
| 治療内容 | 前歯2本のセラミック治療 |
| 費用 | ファイバーコア ¥10,000×2 仮歯 ¥5,000×2 ジルコニアセラミッククラウン ¥130,000×2 |
| 院長コメント | 前歯の変色と黒ずみを治したいということでご来院されました。 |
歯茎の移植
| 年齢 | 20代 |
|---|---|
| 性別 | 女性 |
| 住所 | 北九州市 |
| 主訴/ニーズ | 前歯全体を綺麗にしたい |
| 治療期間 | 10カ月 |
| 治療内容 | 前歯4本の歯肉移植治療とセラミック治療 |
| 費用 | 歯肉移植術 ¥100,000 ファイバーコア ¥10,000×4 仮歯 ¥5,000×4 ジルコニアセラミッククラウン ¥130,000×4 |
| 院長コメント | 前歯の黒ずみや変色や歯並びなど、前歯全体を綺麗にしたいというご要望でご来院頂きました。 |


















