- 福岡市中央区の歯医者「渡辺通駅加納歯科クリニック 福岡」TOP >
- 虫歯治療・根管治療・予防歯科
渡辺通駅加納歯科クリニック 福岡の
虫歯治療と予防
福岡市中央区の歯医者「渡辺通駅加納歯科クリニック 福岡」では、虫歯治療はもちろん大切ですが、虫歯にならないために予防の大切さを皆様にお伝えしています。虫歯によって歯が溶けたり、欠けたりしてしまうと二度と元には戻りません。そして治療を繰り返せば、やがては歯を失ってしまうこともあります。「不安だな」と思う症状があれば、お早めにご相談ください。
虫歯治療
虫歯治療を受けた経験のある方も多いかもしれませんが、虫歯になる仕組みや原因について本当に理解されている方は少ないのではないでしょうか。虫歯になる仕組みを理解することで効果的な予防に取り組むことが可能です。こちらでは、虫歯になる仕組みや原因についてご説明します。
虫歯の原因

虫歯は、歯に付着したプラーク(歯垢)の中に棲みつく虫歯菌が原因の感染症です。虫歯菌は、食後にお口の中に残った糖分をエサに「酸」を生み出します。この「酸」によって歯が溶かされていく病気が虫歯です。
しかし、皆様一人ひとりライフスタイルや環境は違います。また、歯の強さや唾液の性質、細菌の種類や数、好みの食べ物、食事の回数や時間もさまざま。それらの要因が複雑に絡み合って発症するのが虫歯なのです。
原因を特定せずに治療を行えば、再発してしまうリスクが高まります。そこで綿密に診査から原因を追究し、その解決策を見つけたうえで、それぞれに合った処置を行う必要があります。
お子様の「乳歯の虫歯」にご注意ください
お子様の乳歯の虫歯に対して、「生え替わるから問題ない」とお考えの保護者の方がいますが、それは誤りです。乳歯の虫歯は非常に進行が早く、悪化すれば抜歯を招く恐れもあり、早い時期に歯を抜くと歯並びに影響が出る可能性があります。
また、子どもの時期に歯みがきの習慣や虫歯に対しての危険性を認識していないと、大人になってから適切な予防を身につけることは大変です。このような理由から、当院では乳歯の段階からの予防と治療をおすすめしています。
虫歯の成り立ち~進行段階と症状・治療法~
![]() |
|
| 症状 | 歯の表面がやや溶かされ、白っぽく濁ってきます。まだ痛みなどはありません。 |
|---|---|
| 治療法 | 適切な歯みがき方法の指導、フッ素塗布などを行います。 フッ素塗布について>> |
![]() |
|
| 症状 | 歯の表面のエナメル質が溶かされ、黒ずんできます。まだ痛みなどの自覚症状はありません。 |
|---|---|
| 治療法 | 虫歯になっている部分を除去し、歯科用プラスチック(レジン)で埋めて補修します。 |
![]() |
|
| 症状 | 虫歯によってエナメル質の奥にある象牙質が溶かされた状態です。冷たいものや甘いものがしみる、といった症状が出ます。 |
|---|---|
| 治療法 | 虫歯になっている部分を除去し、歯科用プラスチック(レジン)で埋めたり、型を採って詰め物を取り付けたりして歯を補います。 |
![]() |
|
| 症状 | 歯の神経や血管が通る「歯髄」まで虫歯に冒された状態です。激しい痛みを感じます。 |
|---|---|
| 治療法 | 感染した歯の神経(歯髄)を取り除く根管治療を行ったのち、被せ物で歯の機能を回復します。 根幹治療について>> |
![]() |
|
| 症状 | 歯の根の奥まで虫歯に冒されている状態です。神経が死んでいるため痛みはなくなりますが、ばい菌が入ってまわりの歯ぐきが腫れたり、膿が溜まったりしてしまうと再び激しい痛みを感じます。 |
|---|---|
| 治療法 | 根管治療などで歯を活かせない場合は抜歯を行い、インプラントやブリッジ、入れ歯で歯の機能を補います(補綴治療)。 インプラントについて 入れ歯について |
治療例
C2の虫歯に対する処置

- 向かって右側の前歯の痛みと黒ずみが気になって来院された患者様です。歯と歯の間の虫歯が原因だったので丁寧に虫歯を除去し、まわりの歯の色調に調和するように4~5色の歯科用プラスチック(レジン)をブレンドし、形を整えて修復しました。特殊な研磨方法による仕上げに患者様も大満足でした。
セラミックの詰め物による修復
- PICK UP!歯を失ったら早めに治療をしましょう
- 虫歯や歯周病が進行すると、歯を失ってしまう危険性があります。そして、失った歯をそのままにしておくと、残っている歯が空いたスペースへ倒れこんだり、咬み合う歯が伸びてきたりして周囲の歯に負担がかかります。結果的に健康な歯までダメージを受けてしまうのです。そのため、歯を失ったら早急に「補綴(ほてつ)治療」を行う必要があります。補綴治療は入れ歯やブリッジ、インプラントといった人工の歯で咬む機能を回復することです。
捕綴治療について>>
歯の根を残す治療~根管治療
(C3の虫歯に対する処置)~
歯の中の歯髄(神経)まで虫歯が進行すると大きな痛みがともないます。そこまで虫歯が悪化してしまった場合、特殊な道具を使用して感染した神経を取る必要があります。また神経を除去しても、歯の中に汚れが残っていると根の先が化膿し、再び痛みや腫れが出る恐れがあります。このように歯の中の虫歯を取ったり、根の先にできた膿の治療を行ったりするのが歯内療法(根管治療)です。
歯の根の治療は、いかに根管(歯の中)をきれいにするか、薬剤を隅々まで充填するかにかかっていますが、根管は非常に複雑な形をしているためさまざまな道具や技術が必要です。当院ではマイクロスコープや拡大鏡を使用し、患部を拡大することにより精密・正確な処置を行っております。
また被せ物を使わないといけない、口腔内全体の治療を行う必要がある場合は、基礎治療として歯の根の状態を必ず確認します。そして、歯の根に大きな膿が発見された場合は、そちらの治療を優先します。完全に治すには歯の根の治療だけで数ヶ月かかることもありますが、健康な歯で生活するためには必要不可欠な治療です。私たちは歯石を取ったりする歯周病治療と並んで、口腔内の「基礎的治療」と位置づけ、精度の高い治療を心掛けています。

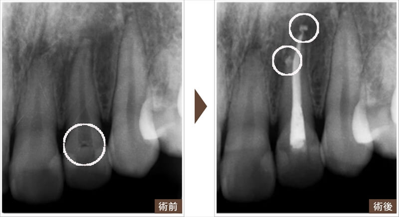
根の治療(根管治療)の一例

虫歯が大きく神経まで達した場合
以前の治療で完全に虫歯が除去できておらず、詰め物の下で虫歯が再発し、神経(歯髄)まで進行してしまったため来院された患者様です。感染した神経を丁寧に除去し、歯の中を洗浄することで、複雑な根の先まで綺麗に薬剤を詰めることができました。
根の先が化膿(膿んでしまった)した場合の処置

虫歯が進行し、根の先までばい菌が入り込み、歯ぐきが腫れたことで来院された患者様です。しっかりと歯の中を洗浄し、根の先までお薬を入れることで、歯茎の腫れも改善されました。
虫歯は予防できます~予防歯科~
虫歯や歯周病といったお口の病気の原因は「口内細菌」です。口内細菌を増殖させないようにすることで、病気を未然に防ぐことができます。当院の予防歯科は、ご自宅で行う歯みがきに加えて、歯科医院でしかできない予防処置により虫歯や歯周病のダメージから守ることが目的としています。

- 早期発見・早期治療を実現するためには、予防歯科で定期的にお口の中の状態を確認することが大切です。また、予防歯科にはお口の中がさっぱり・すっきりさせるといった効果もあります。お口の中を清潔にしておくことで口臭予防にもつながりますので、積極的に当院の予防歯科をご利用ください。
当院の予防歯科メニュー

フッ素塗布
歯の再石灰化を促し、歯質を強化するフッ素を歯の表面に塗ります。ごく初期の虫歯であれば、再石灰化による自然治癒が期待できます。生えたての乳歯・永久歯にも効果的ですので、お子様の予防処置としてもおすすめです。

スケーリング
石灰化したプラークは「歯石」となり、歯の表面や歯と歯ぐきの間に付着します。歯石になると歯みがきで除去できないため、専用器具を使って取り除く必要があります。スケーリングは、「スケーラー」という器具を使って歯石を除去する処置です。

PMTC(プロフェッショナル・メカニカル・トゥース・クリーニング)
PMTCは、専門器具を使った歯のクリーニングです。虫歯菌・歯周病菌の温床となるプラークや歯石を徹底的に除去し、歯の表面をつるつるに磨き上げることでプラークの再付着が防ぎます。お口の中から細菌が減少するため、さっぱりとした感覚が得られ、口臭予防にも効果的です。
定期健診の流れ
当院では、患者様のお口の健康を長い目で維持管理できるよう、定期健診をご提案しています。当院の定期健診の流れは以下の通りです。
-
カウンセリング
当院では、カウンセリングを重視しています。お口の違和感や症状、気になっているところがあれば、遠慮なくお伝えください。

-
診察・症状確認
お口の中に虫歯や歯周病の原因がないか視診・触診で確認します。

-
歯みがきサポート(歯みがき指導)
薬剤を使ってみがき残しを染め出し、ご自身で確認してもらいます。その後、お口に合った方法で、効率よく歯みがきができるようにご指導いたします。

-
歯石除去(スケーリング)
歯の表面にこびりついた歯石をスケーラーで取り除きます。

-
クリーニング(PMTC)
予防の専門家である歯科衛生士の手による歯の専門的なクリーニングです。セルフケアでは落としきれない汚れを徹底的に除去します。

-
完了
これで定期健診は完了です。継続して定期健診を受けることで、さらに健康な口内環境が維持でき、病気を遠ざけることができます。
歯を強くする食べ物で健康に
歯の健康をキープするためにも、歯によい食べ物を意識して食べるようにしましょう。
| 栄養素 | 効果 | 代表的な食品 |
|---|---|---|
| カルシウム・リン | 歯の再石灰化を促進 | ひじき・シラス チーズ・豚肉・牛肉・お米・卵 |
| ビタミンD | カルシウムの代謝を促す | 卵黄・牛乳・バター |
| たんぱく質 | 歯の基礎を作る | 卵黄・牛乳・アジ・豆腐 |
| ビタミンA | エナメル質の土台を作る | ホウレンソウ・人参 豚肉・レバー・バター |
| ビタミンC | 象牙質を作る | ホウレンソウ・キャベツ サツマイモ・ミカン |



























