- 福岡市中央区の歯医者「渡辺通駅加納歯科クリニック 福岡」TOP >
- 医院コラム(一覧) >
- 【症例】前歯が揺れる・グラグラでうまく噛めない患者様の治療|オーバーデンチャーの症例
【症例】前歯が揺れる・グラグラでうまく噛めない患者様の治療|オーバーデンチャーの症例
福岡市博多 渡辺通駅加納歯科クリニックです。
今回は、「前歯がグラグラしてうまく噛めない」「全ての歯の抜歯が必要」とお悩みの患者様の症例についてご紹介します。
【お悩み】前歯が揺れる・グラグラでうまく噛めない
70歳・女性の患者様です。「前歯が揺れて噛めない」「見た目も気になるので全体的に治療したい」というお悩みで来院されました。
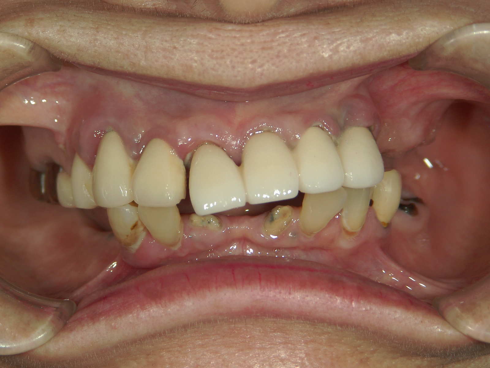
▼ 来院時の状態

診察してみると、上の歯は差し歯は破折し、残っている歯も歯周病が進行している状態。
下の前歯は差し歯が外れ、歯の根が露出しており、噛むたびに強い動揺が起きていました。全ての歯の抜歯が必要な症状でした。
オーバーデンチャーを活用した治療で改善
今回は「入れ歯でもしっかり噛みたい」という強いご希望を踏まえ、下顎にインプラントを2本だけ埋入し、これを固定源にするオーバーデンチャーで入れ歯を安定させる治療計画をご提案しました。

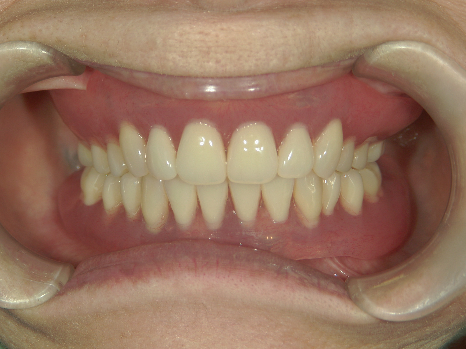
▼ 治療後の状態

オーバーデンチャーとは、少数のインプラントを土台にして入れ歯をしっかり固定する治療法です。少数のインプラントを軸にすることで、入れ歯が動かず、しっかり噛める状態を実現できます。
今回の患者様も、手術の負担を最小限にしながら、噛める・動かない歯を再現することができました。
治療のポイント
なぜ入れ歯ではなくオーバーデンチャーを採用したのか
通常の総入れ歯は、歯ぐきの上に乗せているだけのため、
- ・動く
- ・痛い
- ・外れやすい
- ・噛む力が弱い
という悩みが出やすく、特に下顎の入れ歯は安定しにくい傾向があります。
今回の患者様も「多くの前歯が揺れて噛めない」→ 最終的に総入れ歯になるという流れの中で、通常の入れ歯では満足できない可能性が高いと判断しました。
そこで、少数のインプラント(2本)を使い、入れ歯をしっかり固定できるオーバーデンチャーを採用。「費用を抑えつつ、しっかり噛める状態にしたい」という希望に答える治療法です。
オーバーデンチャーの特徴
オーバーデンチャーには、以下のようなメリットがあります。
- ・少数のインプラントでも大きな安定性が得られる
- ・入れ歯が動かない・外れないため、噛む力が向上
- ・手術の負担が少なく、高齢の方でも選択肢になりやすい
- ・インプラントの本数を最小限にすることで費用を抑えられる
- ・メンテナンスがしやすく、将来的な調整にも柔軟に対応
特に今回のケースのように、「全顎的に抜歯が必要」かつ「しっかり噛める状態に戻したい」患者様とは非常に相性の良い治療です。
治療後に患者様からいただいた声

患者様からは、次のようなお声をいただきました。
- ・「入れ歯がしっかり固定されて、食事が本当に楽になった」
- ・「動かないので安心して噛める」
- ・「最小限の負担でここまで改善するとは思っていなかった」
- ・「歯を失ってからの生活が不安だったけれど、しっかり噛めるようになってよかった」
噛める喜びを取り戻せたことに、大変満足いただいた症例です。
多くの前歯がグラグラ・揺れる・噛めない場合の治療法

前歯が揺れて噛めない状態は、歯周病の進行や歯の根の破折、差し歯のトラブルなど、さまざまな原因で起こります。
症状が軽い場合は歯を残す治療が可能ですが、進行している場合は抜歯が必要となり、噛む力を取り戻すための「補う治療」が必要です。
ここでは、同じようなお悩みを持つ方に向けて、実際に提案できる治療方法を紹介します。
根管治療・保存療法
前歯がグラグラしていても、原因が比較的軽度であれば歯を残せるケースもあります。
- ・根の中の感染を取り除く「根管治療」
- ・歯周病の治療
- ・歯を隣の歯と固定するスプリント
- ・噛み合わせの調整
など、歯を抜かずに症状を改善する治療も選択肢になります。
ただし、歯周病が高度に進行していたり、根が折れている場合は保存が難しいため、 「どこまで残せるのか」 を精密検査で見極めることが大切です。
総入れ歯
総入れ歯は、すべての歯を失った場合にもっとも一般的に選ばれる治療法です。
- ・外科手術が不要
- ・比較的費用を抑えられる
- ・短期間で歯の見た目と噛む機能を回復できる
といった点が大きなメリットです。
ただし、特に下の総入れ歯は動きやすく、噛む力が弱いというデメリットがあり、「しっかり噛みたい」という方には物足りなさが出ることもあります。
オーバーデンチャー(インプラント義歯)
総入れ歯の不安定さを改善したい方におすすめなのが、インプラントを少数だけ使って入れ歯を固定する「オーバーデンチャー」です。
- ・わずか2〜4本のインプラントで入れ歯を固定
- ・動きにくく、外れにくいためよく噛める
- ・通常のインプラント治療より費用を抑えられる
- ・手術の負担が少なく、高齢の方にも選ばれている
今回の症例のように、「できるだけ費用を抑えたいけれど、しっかり噛める状態にしたい」 という方にとても適した治療法です。
インプラント固定式ブリッジ
歯がない部分に複数のインプラントを埋め込み、その上に固定式のブリッジ(連結した人工歯)を装着する方法です。
- ・自分の歯のようにしっかり噛める
- ・取り外し不要で快適
- ・入れ歯よりも見た目が自然
というメリットがあり、 「入れ歯は嫌」「しっかり噛める固定式が良い」という方に向いています。
ただし、骨の状態によっては骨造成が必要になり、「費用も高くなる」「手術の負担が大きい」という点がデメリットになります。
加納歯科クリニックでは、お口の状態に合わせて最適な治療方法をご提案します

加納歯科クリニックでは、今回ご紹介した症例のように、「前歯がグラグラする」「噛めない」「入れ歯が安定しない」 といったお悩みをお持ちの方に対して、お口全体の状態を丁寧に診断し、患者様一人ひとりに合った治療方法をご提案しています。
前歯の動揺は、歯周病・差し歯のトラブル・噛み合わせ・骨の状態など、原因が人によって大きく異なります。そのため、どの治療が長く、快適に使えるかを見極めることがとても重要です。
当院では、総入れ歯・オーバーデンチャー(インプラント義歯)・インプラント固定式ブリッジ・根管治療・保存療法といった幅広い選択肢から、患者様の症状・ご希望・ご予算に合わせた治療プランを一緒に考えていきます。
「しっかり噛めるようになりたい」 「できるだけ負担を抑えたい」そうした思いを大切にしながら、最後まで安心して治療を受けていただけるようサポートいたします。
前歯のグラつき・噛みにくさ・入れ歯の不具合などでお困りの方は、どうぞお気軽にご相談ください。















