医院コラム(詳細)|渡辺通駅加納歯科クリニック 福岡|福岡市中央区の歯医者

渡辺通駅加納歯科クリニック福岡

歯に対するお悩みをお持ちの方はお気軽にお問合わせください

WEB申込

緊急の場合はお電話でご連絡ください。
Web申込の場合、2日程ご連絡が遅れる場合があります。

診療
時間
月-水 10:00 - 13:00 14:30 - 19:30
金曜日 10:00 - 13:00 14:00 - 19:00
土曜日 10:00 - 13:00 14:00 - 18:00

休診日 木・日・祝/(祝日のある木曜日は診療します)

  • tel:092-751-6696
  • お問い合わせ
  • 地図を見る

コラム

黒くなった差し歯のやり直し。土台の治療が大切

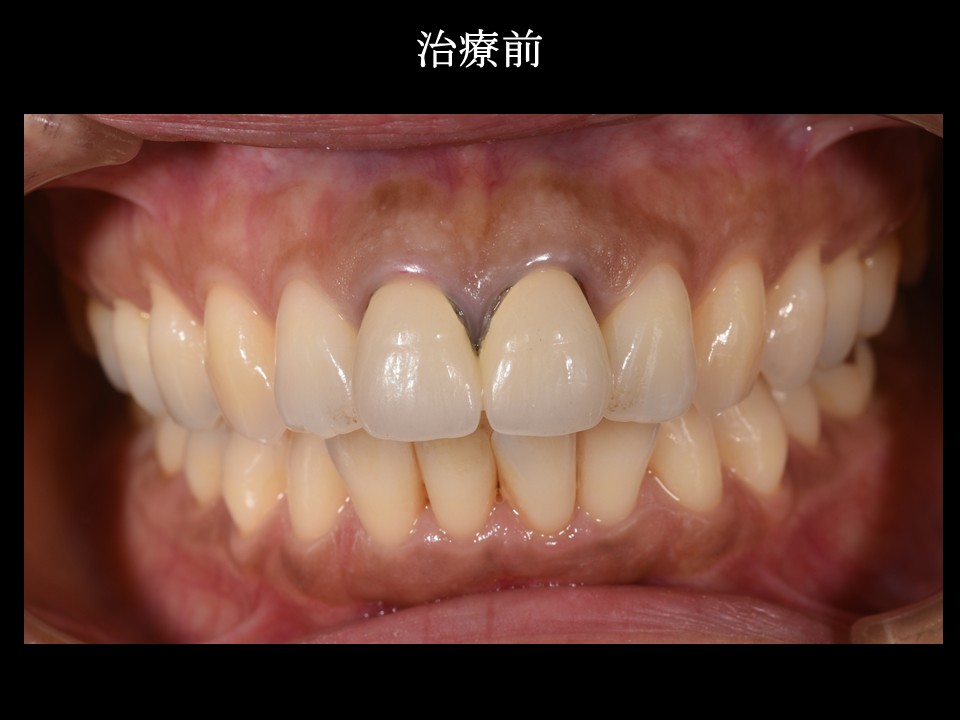
写真1

福岡市博多 渡辺通駅加納歯科クリニック福岡です。

 

古くなった差し歯のやり直しをしたいのですが、できるだけ早く終わらせられますか?

 

今回はの患者様は50代男性。

20年くらい前に保険外でセラミックをいれた差し歯のやり直しを希望され来院されました。

 

前歯の状態をレントゲンなど撮影し、精密診査を行うと一昔前主流だった、メタルボンドといわれる内面に金属を使用したセラミック製の冠と、金属製の土台が入っていました。

 

メタルボンドや金属の土台が悪いということはないのですが、内面に金属を使用しているため、年月を経て歯ぐきが痩せてきた際、どうしても歯ぐきの周りが黒く見えてきてしまいます。

また今回はレントゲン所見でも根の先に膿がたまっていたため、再製作をするにあたって土台を外し、根管治療からという治療の流れになりました。

 

よくよくお話を聞くと、

 

「鼻の下あたりになにか重い痛みがたまにある」

 

ということでしたので、少し時間はかかりますが、患者様も納得の上しっかりと時間をかけて治療していくことになりました。

具体的な治療の流れは

 

① 歯ぐきの炎症を取るため、歯ぐきのブラッシングから始め、磨きやすい形態の仮歯に置き換える

② 歯の根の治療を行う

③ 歯ぐきの形を仮歯を使って整える

④ 仮歯から本歯(セラミック)に代えていく

 

となり、根の治療の状態にもなりますが、月に2,3回程度の通院で3、4か月程度を予定させて頂きました。

 

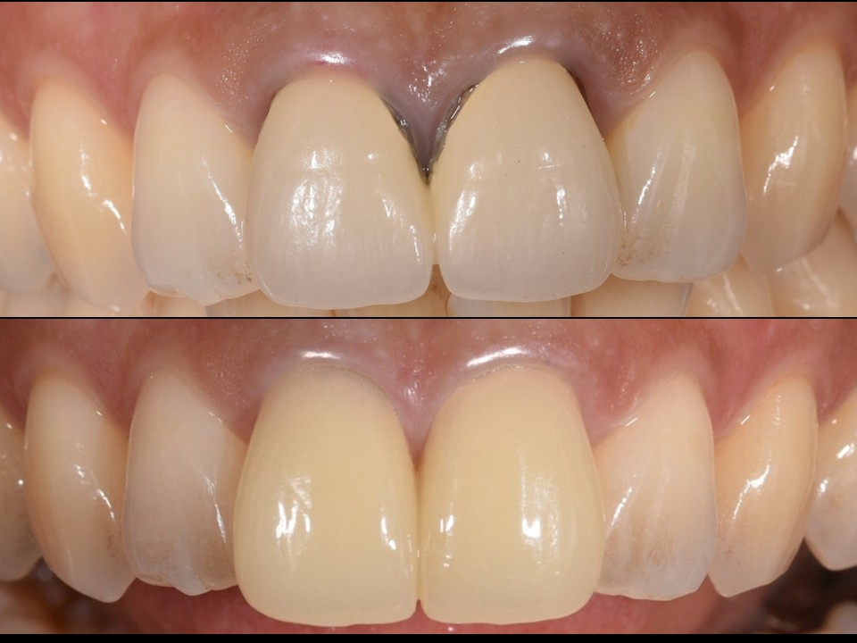
写真2

 

時間がかかったとしてもしっかりとした仮歯をいれることで、患者様の負担はなくなります。

 

仮歯に代えたことでみためも大きく改善し、安心して他の治療にも専念することができます。

 

もちろん最終のセラミックは患者様の好みに合わせて製作していきます。

 

写真3

 

今回は

 

「作り物っぽくならないくらいに明るく綺麗に作ってほしい」

 

というご希望でしたので、少し明るくはしたものの、形に立体感と色味をグラデーションさせることで自然感をだしました。

 

写真4

 

これからもこの状態が続くようしっかりメンテナンスしていきましょうね。

 

渡辺通り駅加納歯科クリニック福岡では、皆様の希望と期待に応える治療を目指しております。黒くなった差し歯、黄ばんだ差し歯、すきっ歯、歯を抜いた後のインプラント治療や入れ歯などでお困りの際は、お気軽にご連絡ください。

 

渡辺通駅加納歯科クリニック福岡

福岡市中央区渡辺通2丁目1-82

電気ビル北館2階 クリニックフロア内

 

  • カウンセリング・治療の流れ
  • 費用について
  • Q&A
  • 設備紹介
  • 医院案内
  • 医院ブログ
  • WEB申込