- 福岡市中央区の歯医者「渡辺通駅加納歯科クリニック 福岡」TOP >
- 医院コラム(一覧) >
- 保険の入れ歯(義歯)と保険外の入れ歯(義歯)の違い
保険の入れ歯(義歯)と保険外の入れ歯(義歯)の違い
福岡市中央区渡辺通り 渡辺通駅加納歯科クリニック 福岡です。
今回は、保険適応外の入れ歯(義歯)についてのご紹介。
「保険と保険外の入れ歯(義歯)は何が違うの?」
入れ歯(義歯)を専門とする当院には、多くの入れ歯(義歯)でお困りの患者様が来院されるため、このような質問もよくされます。
使用する材料に違いがあるため、見た目(審美性)や人工の歯など違いはたくさんありますが、最大の違いは
装着感
保険適応外の入れ歯(義歯)は床の部分に金属を使用できるため、非常に薄くそして軽く作ることができます。
装着時の違和感が少なくなり、食べ物・飲み物の温度が伝わりやすく、食事が楽しめます。
保険適応の入れ歯(義歯)でも、口にぴったり合ったものは作りますが、プラスチック製で壊れやすいので、どうしても厚くなってしまいます。
詳しくは、当院ホームページ義歯のページへ。。。
http://www.kano-shika.com/medical/denture.html

装着感だけでなく
もちろん見ため(審美)も大切。
このように歯の形や歯ぐきの色まで、患者様の好みにあるよう、オーダーメイドしていきます。
白い色がお好みの方もいらっしゃれば、あえて着色を入れることで、自然に見えるものをご希望の方もいます。

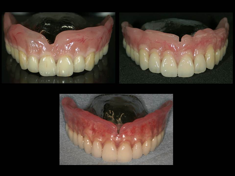
こちらは、上下総入れ歯(義歯)の患者様でしたが、このように素晴らしい結果となりました。
年齢、希望に合わせて最も美しく、笑顔が引き立つものを、提案させていただきます。
インプラントばかりがすべてではありません。
入れ歯(義歯)には入れ歯(義歯)の良さがあります。
その長所を最大限引き出し、皆様が笑顔で、そしていつまでもおいしく食事ができますよう、ご協力できればと思います。
渡辺通駅加納歯科クリニック 福岡では、義歯(入れ歯)、セラミックなど審美歯科治療をはじめ、的確な診査、診断をもとに、インプラント治療も含め、総合治療を行っております。
お困りの際は、お気軽に御相談下さい。
福岡市中央区渡辺通り
渡辺通駅加納歯科クリニック 福岡















